クリニック紹介

CLINIC

受付時間 日・祝
09:00~13:00
14:30~18:00

休診日:木・日・祝日

14:30~17:00

診療理念・コンセプト

  • 01

    理念

    PHILOSOPHY

    生涯、自分の歯で。

  • 02

    ビジョン

    VISION

    予防を“習慣”に。

  • 03

    行動指針

    CREDO

    丁寧な説明・誠実な対応

当院の取組み

当院では、患者のお口の中に入れるものについては細心の注意を払い滅菌しております。 滅菌器具は、滅菌能力の高いの専用の歯科用洗浄機で洗った後、更にBクラスの高圧蒸気滅菌器で処理をしております。 また院内は、歯科クリニックらしくない落ち着いたインテリア。通路は広めで開放感があり、間接照明が安らぎの雰囲気を演出。リラックスした気持ちで、安心して治療を受けることができます。 また、当院では患者様のプライバシーの配慮にも努めています。たとえば、患者様の動線とスタッフ動線が異なるため、患者様は治療中のほかの患者様の姿を目にすることがありません。

当院の特徴

01

地域密着で大人から子供までの 幅広い歯科治療をご提供

当院は、開業から15年以上の治療経験から、むし歯や歯周病治療、インプラント、小児歯科まで幅広く対応しています。豊富な専門知識を活かし、患者さんのお悩みに対して適切な治療をご提案いたしますので歯や口周りの相談はぜひ当院へお越しください。

02

スウェーデン式予防治療

歯医者を利用する目的は、常に「予防」であって欲しいと願っています。 むし歯は治療したからもう安心!ではありません。治療した歯というのは再発のリスクが高く、生まれもった天然の歯が一番強く頑丈、そして長持ちします。だからこそ、生涯自分の歯で楽しく噛んで食事ができるよう、皆様のお口の健康をサポートするのが当院の役目です。

01|検査|むし歯、歯肉炎、歯周病の有無など、歯と歯肉の状態を検査します。
02|染出し|バイオフィルムを染色して可視化します。
03|情報提供|患者さんに予防の重要性を理解していただけるように説明します。
04|歯肉緑上・緑下のエアフロー|エアフローを使用してバイオフィルム、ステイン、早期歯石除去をします。
05|歯肉縁下のペリオフロー|4mmから9mmまでの歯周ポケット内にあるバイオフィルムを除去します。
06|スマートピエゾとPSチップ|残った歯石を除去します。
01|検査|むし歯、歯肉炎、歯周病の有無など、歯と歯肉の状態を検査します。
02|染出し|バイオフィルムを染色して可視化します。
03|情報提供|患者さんに予防の重要性を理解していただけるように説明します。
04|歯肉緑上・緑下のエアフロー|エアフローを使用してバイオフィルム、ステイン、早期歯石除去をします。
05|歯肉縁下のペリオフロー|4mmから9mmまでの歯周ポケット内にあるバイオフィルムを除去します。
06|スマートピエゾとPSチップ|残った歯石を除去します。
01|検査|むし歯、歯肉炎、歯周病の有無など、歯と歯肉の状態を検査します。
02|染出し|バイオフィルムを染色して可視化します。
03|情報提供|患者さんに予防の重要性を理解していただけるように説明します。
04|歯肉緑上・緑下のエアフロー|エアフローを使用してバイオフィルム、ステイン、早期歯石除去をします。
05|歯肉縁下のペリオフロー|4mmから9mmまでの歯周ポケット内にあるバイオフィルムを除去します。
06|スマートピエゾとPSチップ|残った歯石を除去します。

GBT(Guided Biofilm Therapy) システム

従来の治療と一線を画す、より効果的で、 より体に優しい治療法 ※日本歯周病学会「専門医」も在籍

03

スタッフが笑顔で 働ける歯科医院

患者様に思いやりを持って接し、幸せをお届けすることを大切にしています。 予防専用チェアで衛生士業務に専念でき、セミナー参加など成長を支える環境を整えています。女性が働きやすく、仲の良い職場で一緒に活躍してくださる仲間を募集しています。

  • 産後サポート
  • 誕生日
  • 社会保険完備
  • 充実したランチサポート

04

駅チカでアクセス便利な
歯科医院

当院は、通いやすさが大きな特徴です。 地下鉄桜通線・野並駅1番出口を出て右手すぐとアクセス良好。 お車でお越しの方には当ビル北側に駐車場をご用意しており、提携駐車場もございます。(サービス券をお渡しします)

05

ブルーラジカルや
マイクロスコープなど 先端設備を導入した
精度の高い検査・治療

当院では、精密な検査・治療を行うために、各種先端設備を導入しています。 これらを活用し、正確で負担の少ない治療をご提供いたしますのでご安心ください。デジタル化されたデータをもとに、適切な治療計画を提案いたします。

06

歯科衛生士チームが院内連携し 患者さんに配慮した適切なケアを提供

連携の取れた歯科衛生士チームが、患者さんのお口の健康をサポートするため丁寧に対応させていただきます。診療時には患者さん一人ひとりにしっかり寄り添い、わかりやすい説明を心がけております。予防専用チェアによる歯のクリーニングをおこない、予防に専念してまいります。

GBT(Guided Biofilm Therapy)
という考え方

GBT(Guided Biofilm Therapy)
という考え方

従来の方法と大きく異なるのが「バイオフィルム」への着目です。 虫歯や歯周病は「細菌」が引き起こす感染症ですので、細菌の塊である「歯垢/歯石」を除去することが大切なのですが、それらを守る「膜」が存在し、それが「バイオフィルム」です。 従来法では、このバイオフィルムと一緒に歯石などを「力技(ちからわざ)」で除去してきましたが、どうしても荒い治療となってしまうため、バイオフィルム内の細菌をしっかり除去できていませんでした。 しかし、GBTの方法は、まずはバイオフィルムをしっかり除去し、その上で内部の歯石等を除去する流れになりますので、従来法よりもしっかりと細菌を除去することができます。 このシステムのカギになるのが、「スイスEMS社のエアフロー」です。

これまでのエアフローと比較し、次のような特徴があります。

違い

1

バイオフィルムをしっかり除去できる

違い

2

歯や歯茎を傷つけない

従来のエアフローは、バイオフィルムの徹底除去はできませんでしたし、処置中に歯や歯茎を傷つけてしまうこともありましたが、EMS社製のエアフローはこの問題をすべて改善できます。 つまり、治療効果が高まるということになります。

「診査診断の質」が治療後の状態を決めます

何事もそうですが、最初の段階で間違ってしまうと、その後も間違った方向に進み、良い結果になりません。 歯科治療も同様です。 歯科治療では「検査+診査診断」が最初のステップになります。 この工程のクオリティをいかに上げられるかで、治療結果が大きく変わります。

  • 「唾液検査」によるリスク測定

    唾液にはたくさんの「細菌」が含まれているのですが、これを分析することで、患者さんのお口の状態が細菌レベルで把握することができます。この情報をもとに、患者さんオリジナルの治療計画を立案します。

  • 「遺伝子検査」

    「遺伝子検査」では、PCR(ポリメラーゼ連鎖反応)による増幅をリアルタイムに測定することで、感染している歯周病菌の種類を特定し、かつその菌数を測定します。

  • CT(三次元立体画像撮影装置)分析

    歯周病が進行すると「顎の骨」が溶かされます。その状況をCT撮影により精密に分析します。

破壊された歯周組織を回復させる
「歯周組織再生療法」「歯肉移植術」

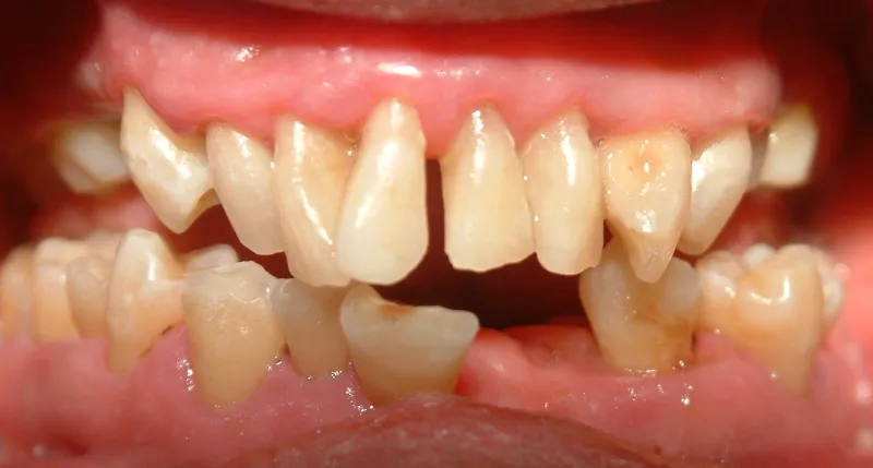
歯周病が進行すると、歯を支える顎の骨が徐々に溶かされ、歯がグラグラし始めます。また、次の画像のように歯が長く見えてしまい、口元の審美性も損なわれます。

破壊された組織を再生させる
「歯周組織再生療法」

歯周病が進行すると顎の骨が溶かされるため、歯を支えられなくなり最終的に抜歯になります。しかし、破壊された組織を回復させることで、抜歯を回避できるケースがあります。

審美性を改善させる「歯肉移植術」

歯周病が進行すると、この画像のように「歯が長く」見えてしまいます。 この状態を改善するには「歯肉移植術」を行います。上顎からご自身の歯肉を切り取り、患部に移植することで、自然な見た目にする治療法です。

皆さんにお伝えしたいこと

歯周病は「生活習慣病」です。 つまり、歯科医院でいくら高度な治療を行ったとしても、ご自宅での生活習慣の乱れがある場合は、歯周病は再発します。しかし、歯科医院での適切な処置と生活習慣の改善が達成できれば、歯周病は改善します。 この事実をもっと多くの方に理解して頂きたいです。 また、歯周病はお口の中だけの病気ではありません。 最近の研究では、次の病気との因果関係が報告されています。

  • 糖尿病
  • 心筋梗塞
  • 脳梗塞
  • 誤嚥性肺炎
  • アルツハイマー
  • 早産・低体重児

「歯周病菌」が血管を通し入り込むことで、様々な問題を引き起こすといわれています。お口の健康が、身体の健康につながります。当院では患者さん「担当制」を採用していますので、一緒に歯周病を改善していきましょう。

歯周病治療のリスクと副作用

  • 手術後、知覚過敏、歯が伸びたように感じることがある。
  • 治療後に痛みが出る可能性がある。
  • 痛み止めの薬物療養の副作用として脱力感、倦怠感、ふらつき、眠気、肝障害などが出ることがある。

クリニック概要

クリニック名
とも歯科クリニック
住所
〒468-0045 愛知県名古屋市天白区野並2-440 野並ビル1F
TEL
052-899-0418
FAX
052-899-0410
院長
水野智仁
診療科目
一般歯科、小児矯正、インプラント、ホワイトニング
受付時間 日・祝
09:00~13:00
14:30~18:00

休診日:木・日・祝日

14:30~17:00

院内紹介

設備紹介

  • 治療器具

    治療機器の衛生管理には細心の注意を払い、滅菌パックされた器具を使用しています。

  • 電動注射器

    歯科治療には「痛い」というイメージが定着していますが、最近は電動麻酔注射器や表面麻酔の使用により、痛みを抑えた治療が可能になりました。これらを併用することで麻酔注射の痛みがかなり軽減できます。

  • デジタルレントゲン

    患者様の口腔内の状態、とりわけ、あごの骨や歯根の様子を把握するために、当院ではデジタルレントゲンを採用しております。これによって放射線を従来のものと比べ40%カットできます。

  • 口腔内写真の確認

    治療用チェアーにおかけになったまま、お口の中の状態をモニターにてご確認いただけます。このモニターを見ていただきながら、むし歯や口腔内の症状などをご説明致します。

  • iClave mini2

    ハンドピースの滅菌器です。しっかりと滅菌できる直熱ヒートシステムで、温度ムラが少なく、効率的な高圧蒸気滅菌を行っています。

  • クラスBオートクレープ

    JIS規格に適合し、ヨーロッパ規格(EN13060)にも準拠するクラスBオートクレーブ「BC-17」は、器具を痛めないソフト乾燥モードを搭載し、ハンドピースや耐熱性樹脂製品に使用しています。

  • ミーレジェットウォッシャー

    医療機器の洗浄、すすぎ、熱消毒および.、乾燥を行うために使用しています。

  • 口腔外バキューム

    口腔外バキュームは、強力な吸引力で、治療時に発生する細かい粉塵を吸い取り、快適でクリーンな診療室をつくります。

  • 水ライン除菌装置 バイオプロテクター

    タービンやコントラ(歯の切削器具)などチェアから出る水の全てを配管内に組み込んだバイオプロテクターで殺菌しています。

患者さんへのご案内
(保険医療機関における書面掲示)

  • ・当医院は保険医療機関です。 ・個人情報保護法を順守しています。 問診票、診療録、検査記録、処方せん等の「個人情報」は利用目的以外には使用しません。

  • 明細書発行体制等加算について

    当院は、明細書を患者さんに無償で交付しております。

  • 医療情報取得加算について

    当院は、オンライン確認を行う体制を整え、質の高い診療を実施するために十分な情報を取得し、および活用して診療を行っております。

  • 一般名処方加算について

    当院は、薬剤の一般的名称を記載する処方箋を交付する場合に、一般名処方の趣旨を患者さんに十分に説明しております。