診療内容

MEDICAL

受付時間 日・祝
09:00~13:00
14:30~18:00

休診日:木・日・祝日

14:30~17:00

ホワイトニング

ホワイトニングについて

口元に自信を持ちたいかたは 歯のホワイトニングがおすすめです

口元の美しさにこだわるかたは、歯のホワイトニングをすることで更に自信を持つことができます。歯のホワイトニングでは、専用の薬剤を塗布して照射することで、歯内部の漂白や歯表面の汚れの除去などを行います。歯の汚れが目立つ、歯の黄ばみを取りたいなどお悩みのかたは、ぜひ一度当院までご相談ください。

こんな場合はご相談ください

  • 歯が黄ばんでいる
  • 着色汚れが目立つ
  • コーヒーやワインをよく飲む
  • 輝くような白い歯にしたい
  • 定期的な通院が難しい
  • ヤニ汚れを取りたい

ホームホワイトイニング

専用のマウスピースを作製し、ご自宅でマウスピースに薬剤を塗布して装着する方法です。 時間をかけて漂白することで、白さが長持ちします。

ホワイトニング料金(税込)

ホワイトニングトレーの型どり
3,300円
ホームホワイトニング
(液、トレー込み)
36,300円

審美歯科

「 コンポジットレジン修復 」という選択肢

コンポジットレジンとは歯科治療で使用される「 歯 に詰める 」修復用材料で、とても歯に強く接着して 自然な歯の色調に近い状態に治療が可能です。一般 的には、虫歯になってしまった時の初期治療に使用 されることが多く、前歯の虫歯を美しく修復できる だけではなく、最近は奥歯の虫歯でも銀歯に変わる 修復材料として活用される機会が増えています。

コンポジットレジンとは

コンポジットとは「混合の」という意味の言葉で、 コンポジットレジンは光を当てると硬化する合成樹脂( レジン )と、ガラス・セラミックスなどの鉱物を細かく砕いた粉末( フィラー )とを混合して作られています。このフィラーと呼ばれる細かいガラス・セラミックスの形や配合具合により、強度や表面の艶などが異なり、治療に使用する部位によって使い分けられています。

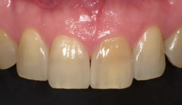
歯を全く削らずに
前歯の隙間を1日で埋める唯一の方法

基本的には矯正治療や大掛かりな補綴治療などでは、治療完了までに数年かかることも珍しくありません。その中でも、コンポジットレジンによる治療は、比較的短期間で完了できる治療の一つです。コンポジットレジンには歯にしっかりと接着するタイプがあり、この接着性の高い材料を使用することで、虫歯の大きさや進行度によっては、歯を必要以上に削ることなく治療を進めることができます。

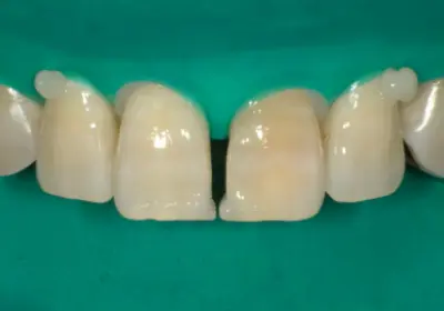
自然な見た目を保ちつつ、
前歯のすき間を1日で仕上げる治療

また、接着性のあるコンポジットレジンで対応できる範囲の虫歯であれば、削ったその日のうちにレジン充填まで行うことが可能です。そのため、治療が最短1日で完了し、通院回数を減らすことができます。 患者さまの負担を軽減しつつ、見た目にも自然な仕上がりが得られる点も大きなメリットです。もちろん虫歯の進行状況によっては別の治療方法をご提案する場合もありますが、適応範囲であればスピーディーかつ低侵襲で治療が完結します。

費用について(税込、保証期間3年)

臼歯
38,500円
前歯
55,000円
接着性ブリッジ
110,000円

治療の流れ

  • 01

    治療前の状態を確認し、前歯の隙間を矯正治療以外で歯を削らずに閉じる方法を提案します

  • 02

    歯の表面を清掃してコンポジットレジンを接着させる準備をします

  • 03

    歯科専用の高性能接着材を歯の表面に塗布します

  • 04

    コンポジットレジンを歯の形に合わせて成形します

  • 05

    成形したコンポジットレジンに光をあてて硬化させます

  • 06

    治療後の状態:丁寧に研磨して艶のある表面の状態に仕上げます

保険診療と自費診療の違い

インプラント治療との違い

むし歯治療が原因でアレルギー?

アレルギー症状に悩む人が増えています。アレルギーの原因は、花粉やハウスダスト、化学物質などさまざまな種類があります。その原因物質の一つで、私たちの生活に大変身近な素材が「金属」です。 あまり知られていないことですが、歯科治療で使用される金属によって金属アレルギーが発症するケースが報告されています。

メタルフリーの素材について

銀歯や金歯といった、金属義歯による金属アレルギーを抑えるには、メタルフリー(非金属)の義歯に変える必要があります。 メタルフリーの代表的な素材は、セラミックです。保険適用外の素材ですが、強度は申し分なく、ほかの歯にも馴染む白い色合いなので、金属義歯より目立たないというメリットもあります。 ※一部保険治療で適応できる場合もありますが、医師からの診断書が必須になりますので一度ご相談ください。

審美料金(税込)

ハイブリッドセラミックインレー
33,000円
ハイブリッドセラミッククラウン
55,000円
セラミックインレー
60,500円
セラミッククラウン(メタルボンド)
88,000円
オールセラミックス(プロセラクラウン:金属なし)
110,000円
オールセラミックス(ジルコニア:金属なし)
110,000円
ゴールドインレー
42,350円
ゴールドクラウン
60,500円
個人トレー
1,650円~
補綴物の型どり
6,050円~
ファイバーコア(型どり)
1,815円
ファイバーコア(セット)
7,260円
仮歯
1,650円~