診療内容

MEDICAL

受付時間 日・祝
09:00~13:00
14:30~18:00

休診日:木・日・祝日

14:30~17:00

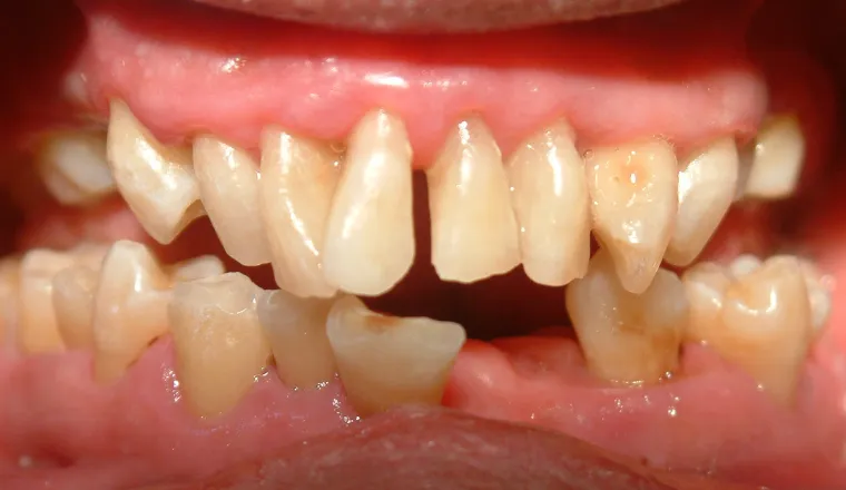
一般歯科

むし歯治療

むし歯のメカニズム

むし歯は、むし歯の原因菌である「ミュータンス菌」が、食べかすなどの中に存在する糖質を食べることで酸をつくり出し、その酸が歯の主要な成分であるカルシウムやリンを溶かすことで起こります。 つまり、原因菌や食べかすだけで起こるものではありません。 また、「むし歯になりやすい」「むし歯になりにくい」といった体質も大きく影響することもわかっています。

むし歯とは

むし歯の初期段階では、歯の表面のエナメル質を侵食しても、再石灰化によってある程度は修復が見込まれます。この時(初期むし歯)はフッ素や歯科クリニックでのブラッシング指導で対応できることもあります。 しかし、むし歯の進むスピードが修復のスピードより早くなると、エナメル質を突き破ってより深い象牙質、更には神経まで到達します。 さらにむし歯が進んでいくと神経まで侵すので、激しい痛みはもちろん、歯を大幅に削ったり、神経を抜いたりして治療する必要があります。この状態まで行くと痛みはもちろん、治療期間・回数がかかってしまします。最悪抜歯することになり、更にそれを放置することで噛み合わせが悪くなります。また、むし歯菌は歯だけではなく体に害を与えるようになります。そのため、年齢とともに生活習慣病にかかるリスクも増える傾向にあります。

健康

悪い

むし歯の治療

治療法・治療手順

むし歯の初期段階では、進行度合いを確認するため、レントゲンでむし歯の範囲を確認して、必要な治療法の選択をします。当然進行度合いが大きければ大がかりな治療になったり、抜歯にいたることがあります。大きければ人工歯冠(主に銀歯)を被せることになります。

むし歯をつくらないために

正しい食習慣、正しいブラッシングを!

まずは、生活習慣の見直しを!ストレスは溜めない、栄養バランスの良い食事を取る、睡眠の質を上げることは、体だけではなく歯にとっても大切なことです。また、しっかり噛むことで唾液が分泌され、口の中の細菌を洗い流してくれます。 そして、だらだら食べない!時間を決めずにだらだら食べたり飲んだりしていると、酸性に傾く時間が長くなり、むし歯が進行するリスクが上がります。 「食べたら磨く」を習慣付ける!人それぞれ適したブラッシング法がありますので、歯医者さんで指導を受けたブラッシング法で行うようにしましょう。正しいブラッシングと合わせ、定期検診とご自身にあったオーダーメイドの予防治療を行うことで、むし歯をつくらない習慣が身につきます。

根管治療について

進行してしまったむし歯であっても 根管治療で歯を残す選択肢があります

むし歯が進行して、歯の内部の髄や神経、および歯の根っこまで感染してしまった場合、根管治療を行います。根管治療のメリットとして、ご自身の歯を残すことを前提に感染部を除去できることがあげられます。歯がうずく、歯ぐきが腫れるなどお悩みのかたは、お早めに当院までご相談ください。

口腔外科

親知らずの痛みとむし歯の痛みの違い

親知らずの痛みは、歯ぐきが腫れる痛みです。 むし歯の痛みは、歯の神経の痛みです。 どちらもズキズキしますが、痛みの感覚はまったく違います。 親知らずの痛みとむし歯の痛みの感じ方は、患者様ご本人の感覚次第で、かなり違います。

抜く場合と抜かない場合

親知らずを抜くか、抜かないかは、親知らずの生え方によって判断されます。 噛み合わせが合っているなら、急いで抜く必要はありません。しかし、親知らずの生え方が悪いと、他の歯を痛めてしまう可能性があるため、抜いた方がいい場合があります。 抜く必要がある時はもちろん抜いた方がいいのですが、抜かなくても様子見で良い場合もございますので、ご自身で判断されずご相談に起こしください。

妊娠中の抜歯

当院ではやむを得ない場合を除き、妊娠中の歯科処置については応急処置のみで対応しております。親知らずもしかりで、最近では妊娠する前に、夫婦で歯周病やむし歯、親知らずなどの口腔内のチェックで来院される方も増えております。 出産後痛くても通院できずに、我慢している方も多く見受けられるので、通院できる内にかかる事をおすすめします。

歯周病

歯周病のメカニズム

歯周病の症状

以下の症状がある方は、歯周病の可能性があるので、早めに歯科医師にご相談ください。

  • 歯ぐきが腫れる
  • 歯ぐきから出血する
  • 歯がグラグラする
  • 歯が伸びたように見える(歯ぐきが下がる)
  • 口臭がする
  • 歯並びが悪くなる
  • 噛むと痛い

歯周病は、歯周病の原因菌が歯垢の中で繁殖し、菌から放出される毒素が歯肉に炎症を起こさせる病気です。 歯周病は自覚症状がなかなか出にくく、自覚症状が出てきたときには相当進行しています。歯周病の原因菌は、わずか1mgの歯垢の中に数億も棲みついているといわれます。 歯垢はやがて歯石となり、歯と歯ぐきの間の歯周ポケットに溜まり、歯肉に悪い影響を与え続けます。そして、やがて歯を支えている骨(歯槽骨)がやせて、最悪の場合は支えることができなくなり歯が抜け落ちてしまいます。

歯周病を放置することの怖さ

歯周病は自覚症状があまりでないまま進行することが多い病気で、痛みがなく知らない間に症状が進行していきます。 「むし歯がないから大丈夫」「痛みがないから大丈夫」と安心せず、定期的な歯科クリニックでのケアをおすすめします。 歯肉から血や膿が出たらかなり症状が進んでいる状態で、歯を支える骨を溶かし、歯が抜けてしまう原因となりますので気をつけましょう。

歯周病の治療

治療法・治療手順

歯周病の治療はご自宅でのケアが重要になります。それに加え、歯科医師や歯科衛生士が行うプロフェッショナルなケアを行い歯周病を治していきます。むし歯のように削って詰めるだけではなく、口内の環境を改善していく必要があるため、一度歯周病になってしまえばレントゲンや歯周病検査をして、状態を確認した上で治療に時間がかかるため、根気よく取り組む必要があります。当院のプロフェッショナルなケアでは、PMTC(機械的歯面清掃)を行っています。ご自身ではどうしても取ることができない細かな汚れを除去することが可能です。

生活習慣でも歯周病のリスクが高まります!

生活習慣でも歯周病のリスク

  • 食後に歯磨きをしない(細菌の繁殖)
  • 疲労やストレスを溜めやすい(免疫力の低下)
  • たばこを吸う(タバコの有害物質)
  • よく噛まずに食べる(唾液の分泌が少ない)
  • 間食が多い

一つでも当てはまれば、歯周病にかかる可能性が高くなります。また、これらに加え、妊娠中や糖尿病、加齢や遺伝、ホルモンバランスの変化なども歯周病の要因として上げられます。生涯自分の歯で、美味しくご飯を食べていただくためにも、早い時期からの生活習慣の見直しをしていきましょう。

当院での取り組み

歯周病のケアでは、まず正しいブラッシングがなによりも大切です。当院ではご自宅でお使いの歯ブラシについて、当て方・サイズ・硬さ・交換時期の説明をさせていただきます。より効率よくブラッシングすることで歯周病・むし歯のプラークを除去できる方法を指導させていただいております。また、歯磨きは手で磨くのが基本です。電動歯ブラシを使用すると磨いた気になってしまい、意外に歯垢が残っているケースがあります。歯科医は、毎日患者様のお口の中をチェックするわけにはいきません。そういう意味では、歯周病ケアは患者様ご本人の自覚と努力がないと始まりません。「歯周病にならない」「これ以上悪くしない」という強い意思で、毎日のケアを欠かさないことです。歯科医は、あくまでそのサポート役を務めるだけなのです。